2026. 1. 22. 07:00ㆍ운동과 건강
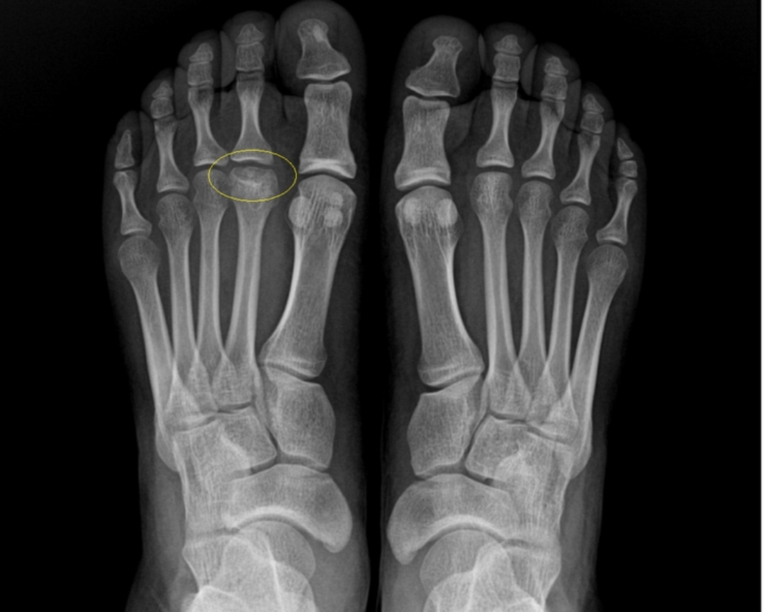
프라이버그병은 발의 중족골두(metatarsal head), 주로 두 번째 중족골두에 발생하는 드문 질환입니다. 중족골두는 발가락과 연결되는 발바닥 앞쪽의 둥근 뼈 끝부분입니다.

프라이버그병이란? (What is Freiberg Disease?)
프라이버그병은 무혈관성 괴사(Avascular Necrosis)의 일종으로 분류됩니다.
* 무혈관성 괴사: 뼈 조직으로 가는 혈액 공급이 부족해져서 뼈 조직이 죽는(괴사) 상태를 말합니다.
* 주요 특징: 중족골두의 혈액 공급이 손상되면서 뼈 조직이 괴사하고, 이로 인해 중족골두의 모양이 납작해지거나(편평화), 변형되어 관절염(골관절염)으로 이어질 수 있습니다.
* 주요 발생 부위: 대부분 두 번째 중족골두에서 발생하며, 드물게 세 번째 등 다른 중족골두에도 나타날 수 있습니다.
* 호발 대상: 주로 청소년기에서 젊은 성인(10대~20대), 특히 여성에게 더 흔하게 발생합니다 (남성보다 약 5배 정도 많음).
주요 증상
가장 흔한 증상은 다음과 같습니다.
* 통증: 발의 앞부분, 특히 아픈 중족골두 주변에 통증과 부기가 나타납니다.
* 체중 부하 시 악화: 걷거나 서 있을 때, 특히 발가락으로 밀어 올릴 때 통증이 심해집니다.
* '돌 위를 걷는 듯한' 느낌: 발바닥에 딱딱한 것이 있는 듯한 이물감을 느낄 수 있습니다.
* 관절 경직: 해당 발가락 관절의 움직임이 제한되고 뻣뻣해질 수 있습니다.
원인
정확한 원인은 불분명하지만, 여러 요인이 복합적으로 작용하는 것으로 추정됩니다.
* 혈관 손상 및 미세 외상: 반복적인 물리적 스트레스(예: 격렬한 운동, 하이힐 착용, 긴 두 번째 중족골 길이)로 인해 중족골두에 미세한 손상이나 골절이 발생하고, 이로 인해 혈액 공급이 방해받는다는 이론이 가장 유력합니다.
* 역학적 요인: 첫 번째 중족골이 짧거나 두 번째 중족골이 상대적으로 길어서 두 번째 중족골에 과도한 압력이 가해지는 경우도 관련이 있습니다.
치료 방법 (Treatment)
프라이버그병의 치료는 질환의 진행 단계, 증상의 정도, 환자의 나이 등을 고려하여 결정됩니다. 초기에는 보존적 치료를 시도하며, 증상이 진행되거나 보존적 치료로 효과가 없을 경우 수술적 치료를 고려합니다.
1. 보존적 치료 (Non-operative Treatment)
초기 단계에서 통증 완화와 병변 부위의 압력 감소를 목표로 합니다.
* 활동 제한 및 안정: 증상을 악화시키는 활동(장시간 걷기, 달리기, 점프 등)을 피하고 휴식을 취합니다. 증상이 심하면 4~6주 정도 보행 보조기나 깁스를 사용하여 발을 고정할 수 있습니다.
* 약물 치료: 비스테로이드성 소염진통제(NSAIDs)를 복용하여 통증과 염증을 줄입니다.
* 신발 및 깔창(Orthotics) 변경:
* 굽이 낮은 편안한 신발을 착용하고, 하이힐 착용을 피합니다.
* 맞춤형 교정 깔창(Orthotics)을 사용하여 통증 부위의 압력을 분산시키고 중족골두에 가해지는 스트레스를 줄입니다. 중족골 패드(Metatarsal Bar/Pad)를 사용하여 통증 부위를 지지할 수도 있습니다.
2. 수술적 치료 (Surgical Treatment)
보존적 치료에도 불구하고 증상이 호전되지 않거나, 질환이 많이 진행되어 관절 변형이나 심한 관절염이 발생한 경우에 고려됩니다. 수술 방법은 다양하며, 관절을 보존하는 방법과 관절을 재건하는 방법으로 나뉩니다.
* 관절 보존 수술:
* 변연 절제술 (Debridement) 및 미세골절술: 관절 내 염증 조직과 느슨한 조각(유리체), 골극(뼈돌기) 등을 제거하여 관절 움직임을 개선합니다.
* 중족골 절골술 (Osteotomy): 중족골을 절단하여 길이를 줄이거나 각도를 조절하여 중족골두에 가해지는 압력을 줄여주는 수술입니다 (예: Weil 절골술, 배측 쐐기 절골술 등).
* 관절 재건 및 치환술:
* 골이식술 (Bone Grafting) 또는 골연골 이식술 (Osteochondral Grafting): 괴사된 뼈 부위를 제거하고 건강한 뼈나 연골 조직을 이식하여 관절면을 복원하려는 시도입니다.
* 관절 성형술 (Arthroplasty) 또는 인공 관절 치환술: 심한 관절 손상으로 인해 관절면을 재건하기 어려운 경우, 중족골두 일부를 제거하거나 인공 관절로 대체할 수 있습니다.
프라이버그병이 의심되거나 진단받은 경우, 정형외과 전문의와 상담하여 환자의 상태에 가장 적합한 치료 계획을 세우는 것이 중요합니다.
'운동과 건강' 카테고리의 다른 글
| 잘 먹고 잘 만져야 당신의 몸이 살아납니다 (0) | 2026.02.09 |
|---|---|
| 운동이 신체와 뇌에 전달하는 신호 🏋️♂️🧠💪 (0) | 2026.02.02 |
| 건강검진 반드시 해야 할 항목 (6대암 검사위주) (0) | 2026.01.10 |
| 스팸과 햄의 가공방법과 영양 비교 (0) | 2025.10.23 |
| 담결림 원인과 치료 그리고 예방 운동 (0) | 2025.10.15 |